Главная | Ассоциация флебологов России | Членам АФР | Врачу | Пациенту | АФР рекомендует | Рейтинг клиник

АССОЦИАЦИЯ ФЛЕБОЛОГОВ РОССИИ

Текущее время: Сб дек 20, 2025 04:04

Часовой пояс: UTC + 3 часа




Начать новую тему Ответить на тему  [ Сообщений: 163 ]  На страницу Пред.  1 ... 7, 8, 9, 10, 11  След.
Автор Сообщение
 Заголовок сообщения: Re: Новые идеи для дистальных облитерантов.
СообщениеДобавлено: Чт ноя 26, 2009 02:22  
Не в сети
Домовой
Аватар пользователя

Зарегистрирован: Пт фев 03, 2006 22:27
Сообщений: 2055
Откуда: Санкт-Петербург
И тем не менее, как ни банально это звучит - это опыт и результат, попытка переосмыслить пережитое, сделаться еще чуть умнее, и в конечном итоге ценнее для общества... и для нас.

_________________
http://www.phlebolog.spb.ru


Вернуться наверх
 Профиль Отправить e-mail  
 
 Заголовок сообщения: Re: Новые идеи для дистальных облитерантов.
СообщениеДобавлено: Пт дек 11, 2009 18:56  
Не в сети
Абориген
Аватар пользователя

Зарегистрирован: Вс мар 26, 2006 13:02
Сообщений: 601
Откуда: Москва
Игорь писал(а):
Кстати, появился новый сложный случай. Молодой 30 летний парень с эндартериитом. 2 недели назад я попытался ему выполнить бедренно-заднетибиальный дистальный шунт с артерией диаметром около 1 мм. Все запустил, но вена была хоть и проходима, но реканализирована и остановилась к 3 суткам. Повторная попытка заместить ригидную вену нормальной аутовенозной вставкой провалилась - нормальной вены не нашел ни на другой ноге, ни малых подкожных ни ручных вен не было. Прокапали метипред, и алпростан - вроде стало больному полегче, однако вчера позвонил и сказал, что боли покоя вернулись.
Теперь думаю как помочь. У парня окклюзия от ПБА до нижней трети голени, за лодыжкой есть маленькая, но проходимая задняя тибиальная артерия и совершенно нет вен для шунта. Мысли следующие:
1. Дезоблитерировать ПБА до подколенной и там сформировать фистулу для поддержания проходимости, а затем выполнить шунтирование in situ с помощью задней тибиальной вены.
2. Тоже самое, но вместо шунтирования пересадить свободный мышечный лоскут на артерии эпигастрика и анастомозировать ее с задней тибиальной артерией позади лодыжки
3. Взять донорскую вену от матери пациента
Что посоветуете?

Пациент вернулся. После ампутации 1 пальца рана не заживает, гноится. Иссекли вычистили, сейчас рана чистая, но заживать не хочет. Кровообращение в стопе слабое. Возникла идея. Подкожные вены у пациента отсутствуют. Решение такое - армированный протез 6 мм в заднюю тибиальную вену. Затем вальвулотомия, анастомоз бок в бок с задней тибиальной артерией позади лодыжки. Если все получается - паховый лоскут на сосудистой ножке к этой реконструкции и закрыть раневой дефект. Идеология - после прирастания лоскута к реципиентной ране ожидается улучшение кровоснабжения на микроциркуляторном уровне. Какие мнения?

_________________
С уважением, Калитко Игорь Михайлович


Вернуться наверх
 Профиль Отправить e-mail  
 
 Заголовок сообщения: Re: Новые идеи для дистальных облитерантов.
СообщениеДобавлено: Пт дек 11, 2009 19:10  
Не в сети
Новосел

Зарегистрирован: Вс сен 17, 2006 18:12
Сообщений: 42
Откуда: Вологда
Наконец -то , лоскут! Очень жду результатов операции . А почему именно паховый лоскут? А широчайшая мышца ? Там артерия вроде бы по диаметру не уступает надчревной?


Вернуться наверх
 Профиль Отправить e-mail  
 
 Заголовок сообщения: Re: Новые идеи для дистальных облитерантов.
СообщениеДобавлено: Пт дек 11, 2009 22:40  
Не в сети
Абориген
Аватар пользователя

Зарегистрирован: Вс мар 26, 2006 13:02
Сообщений: 601
Откуда: Москва
Лопаточный лоскут достаточно объемный, а мне нужен достаточно тонкий кожно-фасциальный, чтобы закрыть голую плюсневую кость.

_________________
С уважением, Калитко Игорь Михайлович


Вернуться наверх
 Профиль Отправить e-mail  
 
 Заголовок сообщения: Re: Новые идеи для дистальных облитерантов.
СообщениеДобавлено: Чт дек 17, 2009 18:52  
Не в сети
Абориген
Аватар пользователя

Зарегистрирован: Ср дек 26, 2007 22:15
Сообщений: 756
Откуда: Донецк, Украина
Игорь писал(а):
Досадно, когда 10 часов ковыряешься, вроде все хорошо, а через небольшой срок чирик. Ну да ладно, все равно так бывает не всегда, да и больные исходно были приговорены. Жаль труда и обманутых ожиданий. Но все же чувствую, что где то есть этот ключик, который позволит успешно лечить большинство дистальных облитерантов с критической ишемией.

Игорь,к сожалению, в нашей работе красиво и правильно сделанная операция еще не все, когда я понял, что работа ангиохирурга подобна труду человека, который перелопачивает кучу навоза, чтобы найти жемчужное зерно, я успокоился. При лечении дистальных поражений, ампутаций очень и очень много, но...! Даже если одна из десяти, двадцати и т.д. операций закончится успешно, то ты не зря занялся этим! Удачи, друг, не грусти! Дерзай. Позволь дать тебе маленький практический совет. В нашей клинике давно применяют метод дебетометрии для прогнозирования результатов при сомнительной периферии. Метод прост: в артериотомию вставляется толстый короткий катетер (венфлон), который ненамного меньше диаметра артерии. Система, состояшая из градуированого сосуда и ПХВ трубки (от системы для переливания крови). В сосуд наливаем физраствор и поднимаем вверх на высоту вытянутой руки. В этих условиях в артерию должно попасть не менее 70 мл. в теч 1 минуты,если речь идет о ПББА или ЗББА или МБА, оптимально - 100 и больше. Если меньше, прогноз очень печальный. Да, метод грубый и приблизительный, но он работает.

_________________
http://varikoz-donetsk.com.ua/


Вернуться наверх
 Профиль  
 
 Заголовок сообщения: Re: Новые идеи для дистальных облитерантов.
СообщениеДобавлено: Чт дек 17, 2009 20:16  
Не в сети
Абориген
Аватар пользователя

Зарегистрирован: Вс мар 26, 2006 13:02
Сообщений: 601
Откуда: Москва
Интересно, обязательно попробую.

_________________
С уважением, Калитко Игорь Михайлович


Вернуться наверх
 Профиль Отправить e-mail  
 
 Заголовок сообщения: Re: Новые идеи для дистальных облитерантов.
СообщениеДобавлено: Сб дек 19, 2009 11:08  
Не в сети
Абориген
Аватар пользователя

Зарегистрирован: Ср дек 26, 2007 22:15
Сообщений: 756
Откуда: Донецк, Украина
Только руку повыше:)

_________________
http://varikoz-donetsk.com.ua/


Вернуться наверх
 Профиль  
 
 Заголовок сообщения: Re: Новые идеи для дистальных облитерантов.
СообщениеДобавлено: Вс дек 20, 2009 21:34  
Не в сети
Абориген
Аватар пользователя

Зарегистрирован: Ср дек 26, 2007 22:15
Сообщений: 756
Откуда: Донецк, Украина
По сути, дебетометрия - непрямой способ измерения периферического сопротивления.

_________________
http://varikoz-donetsk.com.ua/


Вернуться наверх
 Профиль  
 
 Заголовок сообщения: Re: Новые идеи для дистальных облитерантов.
СообщениеДобавлено: Ср фев 17, 2010 12:15  
Не в сети
Старожил

Зарегистрирован: Ср ноя 29, 2006 23:58
Сообщений: 83
Откуда: ДНЕПРОПЕТРОВСК, УКРАИНА
Дебетометрию широко практиковал Н.Л. Володось лет 25 назад. В его отделе даже диссертация было по этой теме. И достаточно удачная конструкция аппарата.


Вернуться наверх
 Профиль  
 
 Заголовок сообщения: Re: Новые идеи для дистальных облитерантов.
СообщениеДобавлено: Вс мар 07, 2010 10:00  
Не в сети
Новосел

Зарегистрирован: Вс сен 17, 2006 18:12
Сообщений: 42
Откуда: Вологда
Игорь Михайлович ! Нужен совет: при трансплантации большого сальника на н\к, желательно ли более тщательно выделять пораженный сосудистый пучок голени для более тесного контакта сосудов н\к с сальником ? Кстати , Ваш адрес заблокирован, поэтому здесь телефон по Вашей просьбе: 89115141585.


Вернуться наверх
 Профиль Отправить e-mail  
 
 Заголовок сообщения: Re: Новые идеи для дистальных облитерантов.
СообщениеДобавлено: Ср мар 10, 2010 20:41  
Не в сети
Абориген
Аватар пользователя

Зарегистрирован: Вс мар 26, 2006 13:02
Сообщений: 601
Откуда: Москва
Не совсем понял вопроса. Если сальник на микрососудистой ножке, то важно ее хорошо расположить, дабы не было перегиба, а сальник аккуратно растянуть под фасцией голени, саму фасцию я не сшиваю, чтобы не сдавливать. На сегодняшний день у меня 5 трансплантаций, 1 совсем неудачная, в остальных случаях сальник прижился.
За телефон спасибо, правда несколько поздновать - пациент уже уехал домой. Хотя если позвонит я с Вашего разрешения ему дам.

_________________
С уважением, Калитко Игорь Михайлович


Вернуться наверх
 Профиль Отправить e-mail  
 
 Заголовок сообщения: Re: Новые идеи для дистальных облитерантов.
СообщениеДобавлено: Вт мар 23, 2010 11:57  
Не в сети
Турист

Зарегистрирован: Сб мар 20, 2010 17:11
Сообщений: 3
Добрый день Уважаемые коллеги. Недавно нашел этот форум.
Мы тоже немного знимаемся дистальными реконструкциями. Собственный опыт около 15 дистальных ( берцовых) шунтирований - реверсированной веной и in situ. Наряду с этим имеется опыт у рентгенхирургов по балонной ангиопластике дистального русла ( прмерно столько же). Сроки наблюдения до 2х лет. Пациенты в основном - дистальная форма атеросклероза при сахарном диабете, посттромботические окклюзии (субтотальные) на поздних сроках - как правило кардиоэмболического генеза.
На настоящем этапе хотелось высказать свои наблюдения:
Результаты при сравнении этих вмешательств сопоставимы, при условии соблюдения пациенатми протоколов приема перапартов.
К плюсам шунтирующих операций можно отнести:
- относительная дешевизна самого вмешательства - из дорогостоящих расходников нужны только нитки - хотя в послеоперационном перидоде требуется время для заживления ран.
- операции возможны и у пациентов с латентной ХПН (диабетическая нефропатия).
Балонная ангиопластика привлекает своей малой инвазивностью, хотя стоимость расходников горадо выше.
Кроме этого привелкает возможность повторных ангиопластик, возможность выполнения вмешательства у пациентов с высоким анестезиологическим риском для выполнения открытой операции.
- также сравнивая возможности тромбэкстракциии катетером Фогарти и чрезкатетерной фрагментацией и аспирацией тромба - (ренттгенхирургнически), хотелось бы отметить травмирующее действие балоном катетера Фогарти на воспаленную (отечную) интиму берцовых артерий, что может привести к ее надрыву и образованию диссекции, при черезкатетерной тромбэкстракции все прохлодит под контролем зрения.
Вообщем складывается впечатленипе о хороших перспективах у балонных ангиопластик при данных видах поражения.
Хотелось бы услышать Ваше мнение на этот счет.
Николай К.:D


Вернуться наверх
 Профиль Отправить e-mail  
 
 Заголовок сообщения: Re: Новые идеи для дистальных облитерантов.
СообщениеДобавлено: Вт мар 23, 2010 12:25  
Не в сети
Абориген
Аватар пользователя

Зарегистрирован: Вс мар 26, 2006 13:02
Сообщений: 601
Откуда: Москва
Здравствуйте! У меня несколько иное впечатление о баллонных ангиопластиках и стентировании берцовых артерий. Сами мы этого не делаем, но за 2009 год мы оперировали 19 пациентов с диабетической макроангиопатией, которым в других, весьма уважаемых клиниках выполнялись РЭВ на берцовых артериях. А еще 12 стентированных пациентов были консультированы по поводу развивающихся некрозов.
Я вижу преимущества шунтов перед стентами в возможности выбора гемодинамических условий и артериальной стенки для микроанастомоза. Кроме того, реканализация окклюзированных артерий голени весьма травматична и на выходе мы получаем плохое русло, а кровоток по стентированным сосудам идет в "трубе" без боковых ветвей и упирается в образовавшуюся ступеньку интимы. Медиокальциноз при диабетической ангиопатии делает ВСЮ берцовую артерию подобной стеклянной трубочке, в результате баллонная дилатация разрушает хрупкую стенку и создает плохие условия для оттока, что в совокупности с малой скоростью кровотока и повреждением стенки приводит к частым тромбозам. При шунтировании, напротив, можно выбрать участок артерии ниже всех стенозов, выполнить эндартерэктомию с фиксацией интимы, обеспечить отток по ветвям и даже разгрузить шунт выполнением очень дистальной фистулы. Таким образом, кровоток по освобожденному сегменту будет заполнять ветви выше, а фистула поддерживать проходимость шунта и реконструированного сегмента артерии. Я вижу перспективу стентирования при появлении стент-графтов с антитромбогенными свойстами и то, у больных с постэмболическими окклюзиями, атеросклеротическими локальными стенозами, без выраженного медиокальциноза артерий на всем протяжении.
Наш опыт за 2009 год - 228 берцовых и стопных реконструкций, из них более 60% с диабетом. У всех больных некрозы стопы и (или голени). Вторичные ампутации у 4-х пациентов, тромбозы реконструкций в течении 3-х месяцев - 7 пациентов, умерло 3 пациента старческого возраста

_________________
С уважением, Калитко Игорь Михайлович


Вернуться наверх
 Профиль Отправить e-mail  
 
 Заголовок сообщения: Re: Новые идеи для дистальных облитерантов.
СообщениеДобавлено: Вт мар 23, 2010 17:55  
Не в сети
Турист

Зарегистрирован: Сб мар 20, 2010 17:11
Сообщений: 3
Игорь писал(а):
мы оперировали 19 пациентов с диабетической макроангиопатией, которым в других, весьма уважаемых клиниках выполнялись РЭВ на берцовых артериях. А еще 12 стентированных пациентов были консультированы по поводу развивающихся некрозов.

Спасибо за ответ. А в какие сроки после балонной ангиопластики наблюдались данные пациенты?
Игорь писал(а):
кровоток по стентированным сосудам идет в "трубе" без боковых ветвей и упирается в образовавшуюся ступеньку интимы

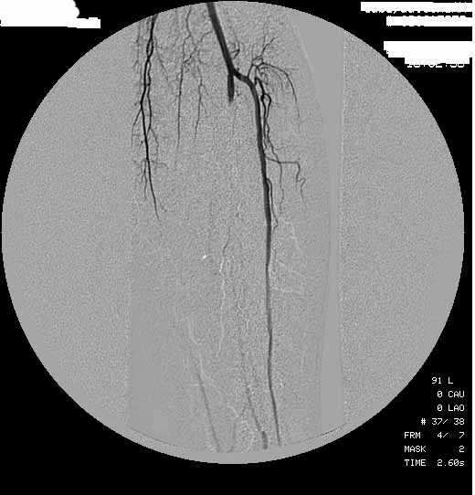
Хочу показать снимки одной из наших пациенток с кртической ишемией. (Оговорюсь - все прооперированные у нас паиенты были с явлениями критической ишемии или наличием трофических дефектов стоп иешмического гененеза)
Вложение:
? ?€????“? ?±1.jpg
? ?€????“? ?±1.jpg [ 53.93 | Просмотров: 30673 ]

Вложение:
? ?€????“? ?±2.jpg
? ?€????“? ?±2.jpg [ 53.07 | Просмотров: 30673 ]

Вложение:
? ?€????“? ?±3.jpg
? ?€????“? ?±3.jpg [ 53.73 | Просмотров: 30673 ]

Как видно на снимках боковые ветви есть.
Относительно стентирования дистальнее щели коленного суства - у нас его никогда не выполняли. Иногда нашими рентгенхирургами стентировались непротяженные стенозы или окклюзии ПБА.
Что касается разгрузочных фистул при шунтирующих операциях - у одной пациентки с сахарным диабетом с окклюзией ПБА, ПББА, ЗББА выполнили операцию бедренного-подколенного шунтирования 8мм ПТФЭ протезом выше щели (удалось вшиться в проксимальную порцию подколеной артерии), от протеза продолжили шунт в дистальную часть ЗББА (за лодыжкой) аутовеной in situ - неперевязанных ветвей БПВ не оставляли. Операция позволила выполнить ампутацию 2 пальцев на стопе (сухая гангрена) с заживлением раны первичным натяжением. Пациентка с ХПН наблюдлась в течении 3х лет - через год шунт in situ окклюзирован, но критическая ишемия не вернулась. БПШунт работает по настоящее вермя, хотя имеется выражнный стеноз дистального анастомоза.
По моему мнению разгрузочной фистулой здесь явился протезо-подколенный анастомоз, так как имевшаяся в то время заднеберцовая артерия не восприняля бы весь объем крови, в тоже время простое БПШ ПТФ протезом не привело бы к купированию критической ишемии и скорее всего такой шунт также недолго проработал ввиду высокого периферического сопротивления.
С Уважением Николай К.


Вернуться наверх
 Профиль Отправить e-mail  
 
 Заголовок сообщения: Re: Новые идеи для дистальных облитерантов.
СообщениеДобавлено: Ср мар 24, 2010 13:45  
Не в сети
Абориген
Аватар пользователя

Зарегистрирован: Вс мар 26, 2006 13:02
Сообщений: 601
Откуда: Москва
Я говорил о ветвях и стентировании. Естественно при пластике без стента ветви сохраняются. Снимки всегда получаются красивые, но надо бы их демонстрировать не сразу после операции, а месяца эдак через 2-3. Очень верный ход сделать "прыгающий" шунт при плохом русле. Импонирует Ваше заключение о цели дистальной реконструкции при некрозах - заживить раны и назначить хорошую терапию. Берцовый шунт должен функционировать до заживления некрозов - в этом его задача. Поэтому утверждения о их нецелесообразности из за недолговечности являются, на мой взгляд, в корне неверными. Главное спасти ногу сейчас, а потом - дозированная лечебная ходьба, хорошие препараты и постепенная облитерация анастомозов разовьют хорошую коллатеральную сеть и уберегут ногу от критической ишемии.

_________________
С уважением, Калитко Игорь Михайлович


Вернуться наверх
 Профиль Отправить e-mail  
 
Показать сообщения за:  Сортировать по:  
Начать новую тему Ответить на тему  [ Сообщений: 163 ]  На страницу Пред.  1 ... 7, 8, 9, 10, 11  След.

Часовой пояс: UTC + 3 часа


Кто сейчас на форуме

Сейчас этот форум просматривают: нет зарегистрированных пользователей и гости: 12


Вы не можете начинать темы
Вы не можете отвечать на сообщения
Вы не можете редактировать свои сообщения
Вы не можете удалять свои сообщения
Вы не можете добавлять вложения

Найти:
Перейти:  
cron
Powered by phpBB © 2000, 2002, 2005, 2007 phpBB Group
Русская поддержка phpBB3